
突発性難聴に対する高気圧酸素治療 福山市の耳鼻科 中耳炎治療 中耳炎の手術なら福山の耳鼻科 堀病院
間質性肺炎 肺線維症センター 一般財団法人慈山会 医学研究所付属 坪井病院
City Kagoshima Med Or Jp


なぜ 経営者や医師は酸素カプセルを使うのか 藤本 幸弘 本 通販 Amazon

新型コロナウイルスの新たな打開策となるか 株式会社セルアップが高気圧高濃度酸素チャンバーvcc19を発表 株式会社セルアップのプレスリリース

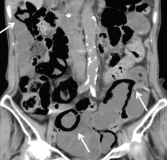
症例4 遠隔画像診断事業 症例紹介 特発性腸管嚢腫様気腫症 株式会社ワイズ リーディング
高気圧酸素治療 当院の治療の特色 社会医療法人玄真堂 川嶌整形外科病院 かわしまクリニック

株式会社プラスプ 高濃度酸素サーバー Shenpix酸素濃縮器cfoc f の普及強化 企業リリース 日刊工業新聞 電子版

高圧酸素療法が著効し下肢温存できた壊死性軟部組織感染症 皮膚病診療 41巻12号 医書 Jp
コラム 一般社団法人日本気圧メディカル協会
高気圧酸素治療 当院の治療の特色 社会医療法人玄真堂 川嶌整形外科病院 かわしまクリニック
Tags:
Archive